Jaw, Head, Neck Pain (TMJ) Pain and Occlusion

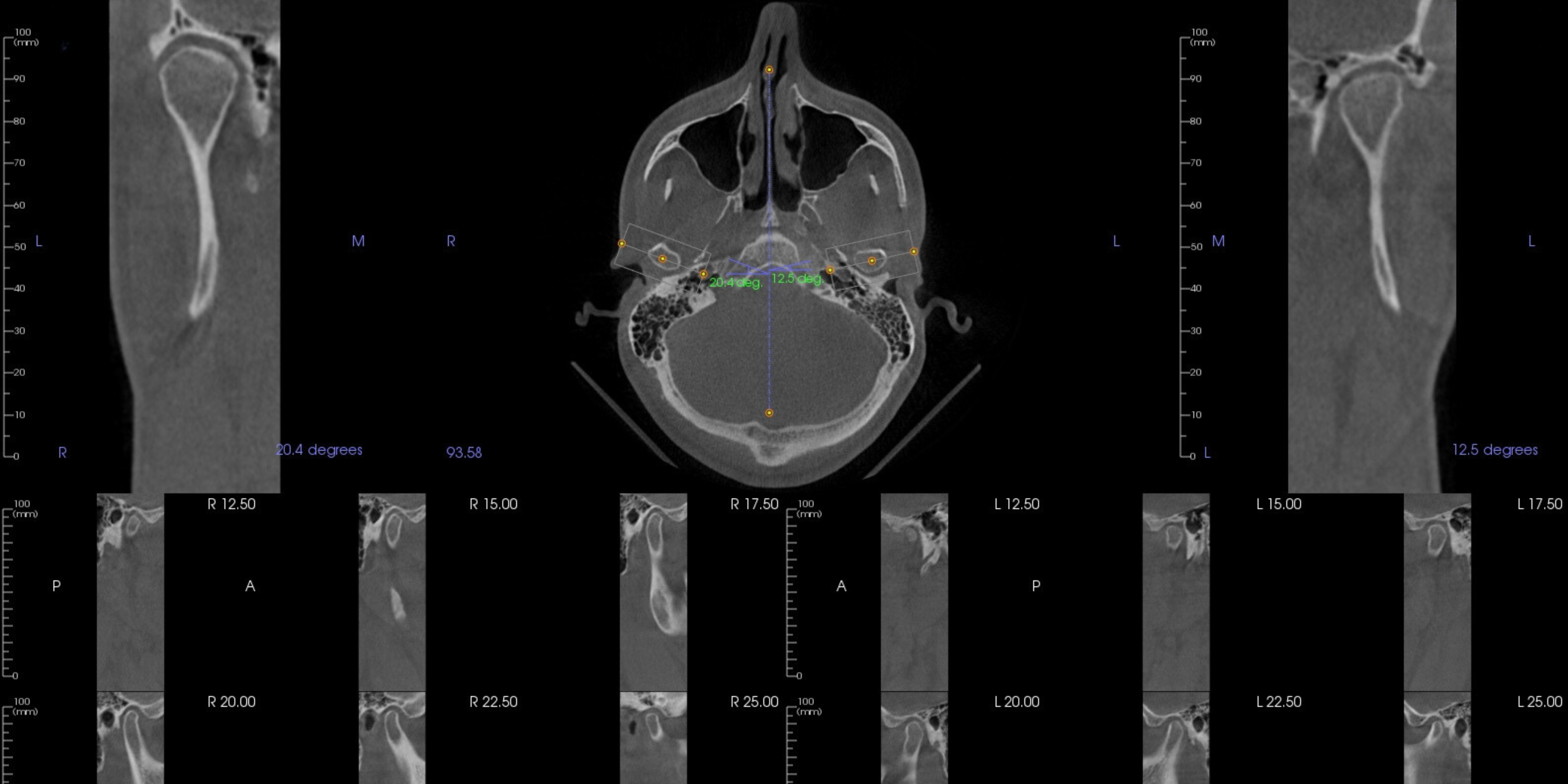
TMJD (Temporomandibular Joint Disorder) pain refers to discomfort or pain in the jaw joint and the surrounding muscles. Occlusion relates to the alignment and contact between the upper and lower teeth when the jaws are closed, and issues with occlusion can contribute to TMJ pain and discomfort in the head and neck. When the occlusion is in balance with the nerve and muscle activity, we can alleviate pain, muscle tension, clenching, bruxism, headaches, migraines while enhancing a person’s ability to chew and digest food efficiently.

At Reclaim Integrative Dentistry, we incorporate the philosophies of neuromuscular dentistry, which searches for and treats the appropriate and ideal alignment of muscles, bones and teeth.

Benefits to Treatment:

  • Reduced Pain: Reduced or eliminated headaches, migraines, chronic jaw, head, and neck pain, leading to improved overall comfort.
  • Enhanced Function: Enhanced jaw function and reduced difficulty in activities like chewing and speaking.
  • Improved Sleep Quality: By addressing issues like teeth grinding (bruxism) often linked to TMJ disorders, patients also can experience more restful sleep.
  • Mitigate Future Health Problems: Avoidance of long-term complications like joint damage that may arise from untreated TMJ issues.
  • Improved Overall Health: Enhanced quality of life, oral health, reduced stress, and increased self-confidence due to reduced pain and improved appearance.

Inspiring People of All Ages to Reclaim their Health and Vitality

We are passionate about helping our patients achieve a higher level of wellbeing so they can enjoy the stability that optimal oral health brings while accessing the best expression of their smile and personality.

What Patients Are Saying

There is not enough space to share how amazing this dental practice is! From Hailey at the front desk to the hygienist Dinesen to Marie the office manager and of course Dr Kevin, this is how every dental experience should be for every patient. We saw an integrative dentist back in WI but the experience here was beyond. The patience, care and top notch technology at Reclaim make you feel so comfortable and cared for. Not only do they do exceptional work but they teach you along the way which being a nutritionist myself, is such a powerful tool for improved health. Plus they take dental insurance which for the quality of care I received, am blown away as even our last integrative dentist did not.

5

I had the 3 on 6™procedure with Dr. Kevin Schwandt on July 13, 2021. It went brilliantly. I had very little pain, bruising, or inflammation after the procedure and throughout my recovery period. My experience exceeded all my expectations. It changed my health which changed my life. I had no idea that this could or would happen. If you’re scared to take this leap, Dr. Kevin and his staff at Reclaim Dentistry are your safety net from start to finish. They will be with you every step of the way the same way they were with me.

5

I recently switched to Dr. Kevin and his team at Reclaim Dentistry. The entire staff is friendly and upbeat and the atmosphere is so different from any other dentist office I’ve been to. The care team is very professional and dedicated. I had a somewhat difficult implant that I needed to done and wasn’t confident with my previous dentist. A dear friend recommended Reclaim and I decided to give them a try. I’m so glad I did!

5

I cannot recommend this place enough! I’ve never walked into a clinical space (let alone dental office) that was so warm and welcoming. The actual care and staff are great – it was efficient but the conversation and time with Dr. Schwandt did not feel rushed. I came interested in a holistic review of my oral health and learned a lot about breathing and sleep. Even learned I have a deviated septum and how that’s been impacting me. I felt cared for by the whole team. This place over a corporate owned dental practice any day. Excited to continue my care here!

5

I am so excited to finally find a holistic Dentist that can do it all! Dr. Kevin Schwandt at Reclaim is always available and takes time to explain the options, procedures, and equipment to those of us with inquiring minds. His office is state of the art. He holds to a very high standard and is meticulous in the work he does to my teeth and health. His quality of work is top notch. In addition, all of the staff are very accommodating and friendly. I actually enjoy going to the dentist, how many people can say that!

5

Dr. Kevin, Marie, Will, Denine and Joleen were absolutely wonderful from my first appointment to my last treatment. I feel like I’ve known everyone for years. I felt like family as soon as I walked in the door. My past experiences with other dentists have not been good. I was left with a failing implant and other dental issues. Dr. Kevin and his incredibly knowledgeable staff were able to correct the issues created by previous dentists and I now have smile I’m proud and confident to share with everyone. I’m very impressed with their holistic approach and use of advanced dental technology. I would highly recommend Dr. K and his staff for all your dental needs.

5

What a wonderful place, with such wonderful people!  Welcoming, comfortable, professional, high tech, top-of-the-line, inviting, reasonable, rational, scientific, and health conscious. I could literally breathe better immediately after walking in the door. Thank you so much for existing!

5

I went to Reclaim Dentistry for a new patient exam and had a great experience! The systems and technology are up to date. The staff was so kind, well informed and present. I really like that they see you beyond traditional dentistry and you can tell they are all very passionate about what they do! I’m also the type person who has jumped around from dentist to dentist for 10+ years. Happy to say I’ve found one that I am excited to go back to!

5

Holy incredible! I have never been more impressed with the absolutely amazing care and kindness provided by every staff member at Reclaim Integrative Dentistry and Implants! The knowledge and approaches Dr. Kevin integrates left me feeling as though I was in the best hands and the thorough care of Denine in my cleaning was profound! Every other staff member was equally kind and a true pleasure to be served by. If you want the best care I highly recommend Reclaim!

5

Dr. Kevin is amazing. I go to him twice a year for my regular cleanings. He has filled a couple of my cavities as well as placed my implant. Dr. Kevin does general dentistry and oral surgery, he can help with everything from cleaning to cavities to sleep apnea to full mouth restoration. But beyond his amazing skills, the thing I love the most about him is his personality. He really cares about his patients and he’s very passionate about helping people lead a more healthy life through a healthy mouth. He believes in an integrated approach that uses a holistic approach to treat every issue at the root cause.

5