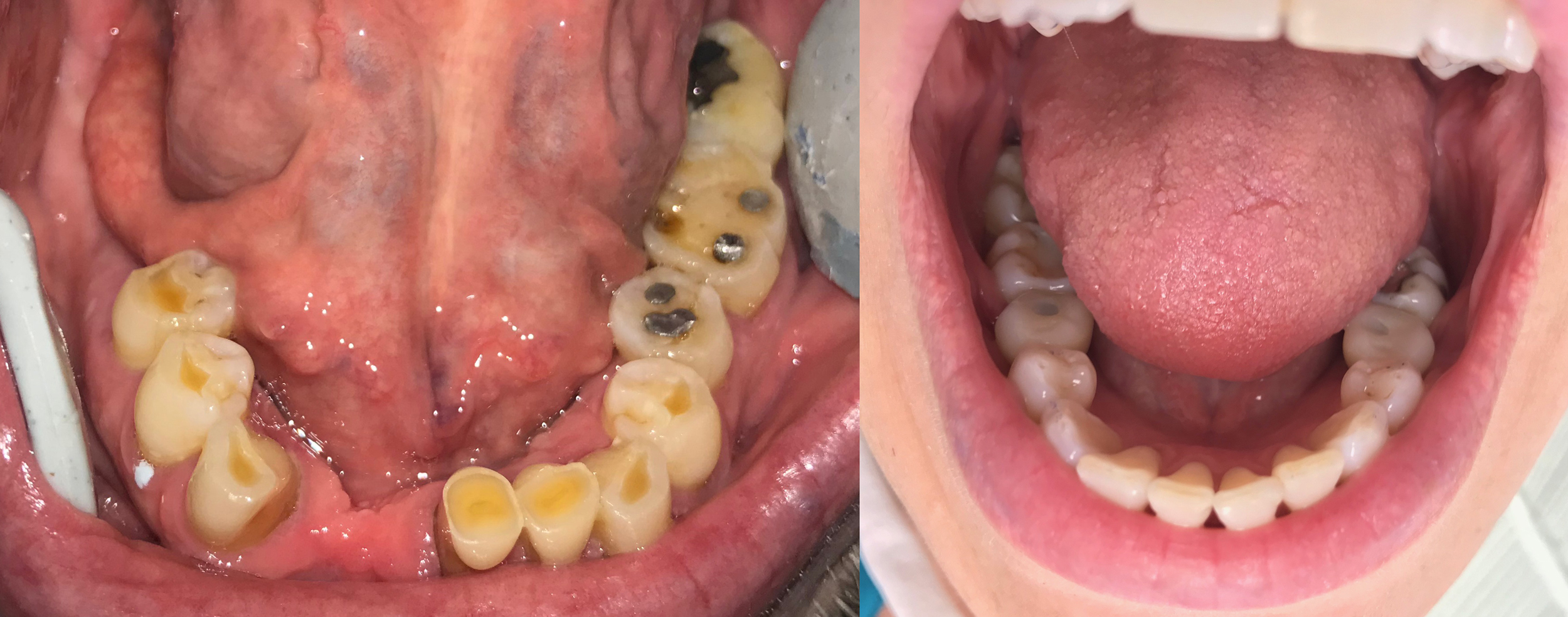
Clenching & Grinding
Clenching and grinding, often referred to as bruxism, involve the involuntary clenching of teeth and grinding them together, typically during sleep. This habit can lead to severe dental issues such as tooth wear, fractures, and TMJ disorders, and it may also contribute to broader health problems including headaches, facial pain, and disrupted sleep patterns, ultimately impacting a person’s overall well-being and quality of life.
 
			Benefits to Treatment:
- Preserved Tooth Structure: A dental procedure, such as the use of a custom-fitted night guard or splint, can help protect teeth from excessive wear and damage, preserving their natural structure.
- Pain Relief: Alleviating and managing bruxism typically leads to a reduction in jaw pain, headaches, facial discomfort, and TMJ-related issues, improving overall comfort.
- Prevention of Dental Issues: By addressing the underlying cause of tooth grinding, dental procedures can prevent dental problems like cracked teeth, enamel erosion, and tooth sensitivity.
- Improved Sleep Quality: Bruxism can disrupt sleep patterns. Treating it can lead to better sleep quality, resulting in increased daytime alertness and overall well-being.
- Enhanced Oral Health: Better control of bruxism contributes to improved oral health, reducing the need for extensive dental treatments and associated costs.
- Stress Reduction: Bruxism is often exacerbated by stress. Dental procedures and interventions can help patients manage stress and reduce its impact on their oral health.
- Long-Term Cost Savings: Preventing dental issues and their associated treatments can lead to cost savings over time, as patients may require fewer dental interventions and restorations.
Related Treatments:
- Airway Consultation & Assessment
- Tongue Tie Release
- Clenching & Grinding Treatments
- Myofunctional Therapy
- Palatal Expansion (Custom Oral Appliances)
- Advanced Laser Dentistry with the Fotona Lightwalker Laser
- MyoMunchee and MyoBrace
- Clear aligner therapy
- Adult Airway Treatment
- Pediatric Airway Treatment
- Poor Sleep
